Blutfette: Was sind sie, was machen sie, und was, wenn man zuviel davon hat?

Rolf Kickuth

Zellbausteine, Energiespender – 

und schleichende Krankmacher

Blutfette sind in Alltagsbetrachtungen oft negativ belegt: „Nicht soviel Eier essen, das erhöht die Cholesterin­

werte“, heißt es zum Beispiel. Diese Haltung ist jedoch einseitig. Zum einen sind Blutfette essentiell für den Organismus, notwendig für den Aufbau der Zellwände zum Beispiel. Zum anderen produziert der Körper selbst den größten Anteil der Blutfette. Diäten bewirken da wenig. Über die Funktion von Blutfetten, ihre Werte, möglichen Schädigungen und deren Diagnostik sowie Therapien informiert dieser Artikel. Er soll einer Einordnung von Funktionen der Blutfette ermöglichen, aber bei Hinweisen auf Fehlfunktionen auf keinen Fall den Arztbesuch ersetzten.


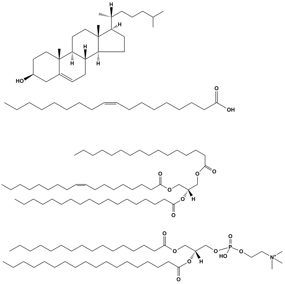
Die molekularen Strukturen, die auch dem Begriff der Blutfette zugrunde liegen, fasst man unter der Bezeichnung „Lipide“ zusammen. Lipide sind eine große Gruppe organischer Verbindungen, zu denen Fette, Wachse, Sterole, fettlösliche Vitamine wie Vitamin A, D, E und K, Monoglyceride , Diglyceride , Phospholipide und andere gehören.

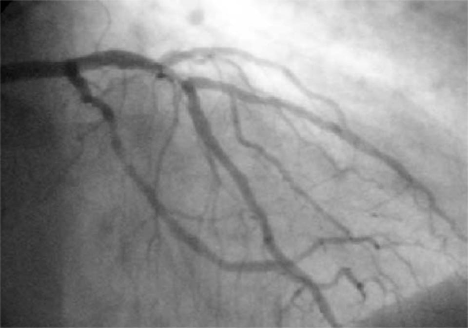
Ein Koronarangiogramm mit Röntgenkontrastmittel in den Koronararterien, das den linken Koronarkreislauf zeigt (Abb.: Wikipedia / Bleiglas CC BY-SA 3.0).

Beispiel-Strukturen von Lipiden. Oben Cholesterin, darunter Ölsäure. Die mittlere Struktur zeigt ein Triglycerid, das aus Oleoyl- , Stearoyl- und Palmitoylketten besteht, die an ein Glycerin-Rückgrat gebunden sind.  Triglyceride sind Ester, die aus Glycerin und drei Fettsäuren abgeleitet ist. Unten dargestellt das häufig vorkommende Phospholipid Phosphatidylcholin. 

© 2023 Rolf Kickuth zurück zur Startseite